blanqueamiento-servicio.jpg

Blanqueamiento

Últimas Tecnologías y Procedimientos Estéticos con Láser

El blanqueamiento es un tratamiento no invasivo diseñado para mejorar el color de tus dientes y proporcionarte una sonrisa más blanca. El blanqueamiento puede ser interno o externo. El interno se utiliza cuando hay un diente mucho más oscuro que los demás y es producto de golpes o tratamientos de conducto viejos y se realiza puntual en una sola pieza. El externo por el contrario se trabaja en todos los dientes de la boca teniendo en cuenta los tipos y para que se utilizan:

-Si lo que se desea es blanquear un diente o un sector que está más amarillo que otro, para poder nivelar todos se debe pasar si o si por blanqueamiento de consultorio.
-Si todos los dientes tienen mismo color pero quisieras blanquearlos, el ambulatorio funciona muy bien.
-Si quisieras lograr el tono más blanco posible en todos los dientes, te recomendamos el combo completo (consultorio+ambulatorio)


En manos de nuestros profesionales te garantizamos no solo excelentes resultados personalizados y estéticos sino el asesoramiento correcto para que elijas lo que es mejor para resolver tu caso.

Tratamientos

Blanqueamiento Dental.
  • Blanqueamiento interno de consultorio y ambulatorio

  • Blanqueamiento externo de consultorio y ambulatorio

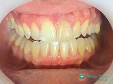
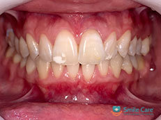
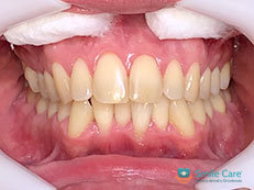
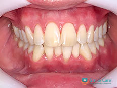
Casos:


Contacto y Turnos

Por favor completar el formulario. A la brevedad responderemos el mensaje.




Tratamientos

Atención Particular